안녕하세요
수원 광교 우리사랑치과 김일연 원장입니다.
포스팅에 사용된 사진은 허락없이 사용할 수 없습니다.
그리고 치과진료에 대한 궁금증이 있으시면 댓글이나 아래 메일로 문의주세요^^
e-mail : welovedent@gmail.com
💡 요약: 이 글에서는 멀쩡한 자연 치아를 깎아내는 보철 치료 대신, 치아를 최대한 보존하는 '앞니 레진 빌드업'과 어금니 충치 및 크랙을 위한 '생체모방(BRD) 보존 치료법'의 원리와 장점, 그리고 성공적인 접착을 위한 러버댐의 중요성을 25년 차 치과의사의 관점에서 상세히 다룹니다.
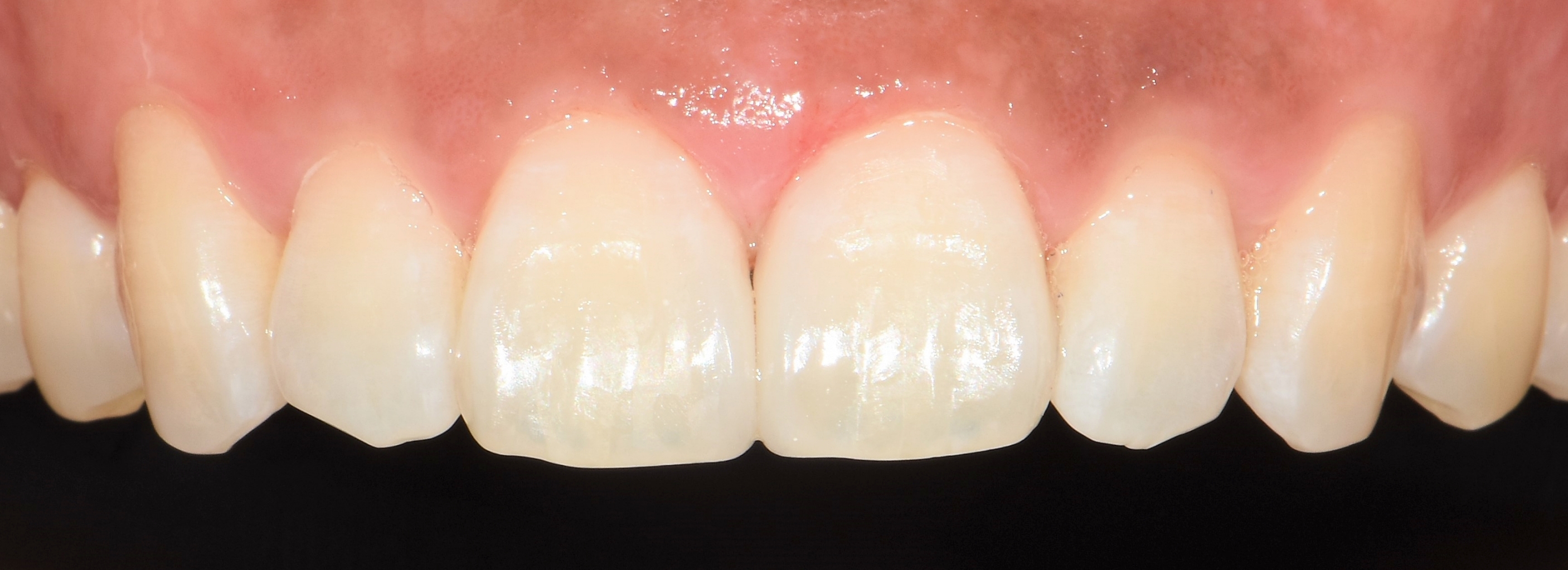
1. 벌어진 앞니, 삭제 없이 채우는 레진 빌드업의 원리
앞니 사이에 틈이 벌어져 있으면 웃거나 대화를 할 때 심미적으로 큰 스트레스를 유발하게 됩니다. 일반적인 치과 진료에서는 이러한 공간을 메우기 위해 치아의 표면을 일정 부분 깎아낸 뒤 라미네이트나 크라운과 같은 보철물을 씌우는 방식을 권장하는 경우가 많습니다. 하지만 한번 삭제된 자연 치아는 다시 재생되지 않으므로, 장기적인 치아 건강을 고려한다면 치아의 손상을 최소화하는 방향으로 접근하는 것이 매우 중요합니다. 본원에서는 이러한 경우 자연 치아를 깎지 않고 치아 색상과 유사한 복합 레진을 정교하게 덧붙여 공간을 채우는 '레진 빌드업(Resin Build-up)' 치료를 우선적으로 시행하고 있습니다.

레진 빌드업은 단순히 재료를 덮어씌우는 것이 아니라, 치아의 미세한 색상 층과 투명도를 재현하여 원래 내 치아였던 것처럼 자연스러운 형태를 조각하는 고난도의 술식입니다. 이 과정에서 가장 핵심적인 역할을 하는 것이 바로 '러버댐(Rubber Dam)'이라는 파란색 고무막의 사용입니다. 입안의 침이나 피, 심지어 호흡에서 나오는 수분조차도 레진과 치아 사이의 강력한 접착을 방해하는 치명적인 요소로 작용하기 때문에, 러버댐을 통해 완벽한 방습 환경을 조성해야만 시간이 지나도 변색되거나 떨어지지 않는 튼튼한 결과물을 얻을 수 있습니다.


치과의사에게 치아를 깎아 본을 뜨는 방식이 훨씬 수월할 수 있지만, 환자의 10년, 20년 뒤의 구강 건강을 지키는 가장 확실한 방법은 번거롭더라도 본연의 치아를 보존하는 것입니다.
2. 어금니 충치와 크랙, 발치 대신 살리는 BRD 치료 과정
어금니는 우리가 음식을 씹을 때 우리 몸에서 가장 강력한 힘을 견뎌내야 하는 중요한 부위입니다. 과거에 치료했던 금니(골드 인레이)나 아말감 주변에 2차 충치가 생기거나 미세한 금(크랙)이 발생했을 때, 흔히 신경치료를 진행하고 치아 전체를 깎아 크라운을 씌우는 방식을 떠올립니다. 하지만 저희 치과에서는 '생체모방 치의학(Biomimetic Restorative Dentistry, BRD)' 개념을 도입하여, 손상된 부위만을 정밀하게 제거한 뒤 건강한 치아 구조를 남기고 그 위를 마치 본래의 치아 산맥(cusp)과 계곡 형태처럼 층층이 재건하는 방식을 고집하고 있습니다.



치아의 씹는 면이 넓게 손상된 경우에는 레진 빌드업 후 세라믹 오버레이(Overlay)를 접착하여 치아 전체를 보호합니다. 치아를 기둥 모양으로 작게 깎아내는 크라운과 달리, 오버레이는 남아있는 치아의 형태에 맞게 뚜껑처럼 덮어 접착하는 방식이므로 신경치료의 가능성을 획기적으로 낮출 수 있습니다. 이 과정에서도 역시 철저한 러버댐 장착을 통한 완벽한 방습과 고난도의 특수 접착 기술이 동반되어야만 씹는 힘을 고르게 분산시키고 자연 치아의 수명을 최대한 연장할 수 있습니다.




3. 기존 보철 치료와 치아 보존 치료(레진/오버레이) 상세 비교
환자분들의 구강 상태에 따라 적합한 치료 방법은 달라질 수 있지만, 각 치료법이 가지는 특성과 장단점을 명확히 인지하고 결정하는 것이 좋습니다. 일반적인 크라운 및 라미네이트 보철 치료와, 본원에서 지향하는 레진 빌드업 및 BRD(생체모방) 보존 치료의 핵심적인 차이를 아래 표를 통해 객관적으로 비교해 드립니다. 이를 바탕으로 어떤 방향이 장기적인 내 치아 건강에 유리할지 주치의와 심도 있게 상담해 보시길 권장합니다.
| 구분 | 기존 보철 치료 (크라운/라미네이트) | 보존 치료 (레진 빌드업/BRD 오버레이) |
|---|---|---|
| 치아 삭제량 | 크라운을 씌우기 위해 전체적으로 많은 양의 치질 삭제가 필요함. | 손상된 부위(충치/크랙)만 선택적으로 제거하므로 치아 보존율이 매우 높음. |
| 신경치료 여부 | 치아 삭제 과정에서 신경이 노출될 확률이 높아 신경치료 동반 비율이 높음. | 최대한 치수를 보호하는 술식으로 신경치료를 피할 수 있는 확률이 높음. |
| 치료 소요 시간 | 보통 본을 뜨고 기공소에서 제작하는 과정이 필요해 2~3회 이상 내원 필요. | 레진 빌드업은 당일 완성이 가능하며, 오버레이 역시 정교한 방습 하에 집중 치료가 이루어짐. |
| 접착의 중요성 | 물리적인 결합(마찰력)에 주로 의존하며, 상대적으로 접착 민감도가 낮음. | 화학적 결합을 이용하므로 '러버댐'을 활용한 완벽한 수분 차단이 치료 성공의 핵심임. |
치아의 손상 범위가 뿌리 깊은 곳까지 연장되었거나 이미 치수(신경)가 괴사된 심각한 상태라면, 보존적 치료에 한계가 있어 부득이하게 신경치료나 발치가 필요할 수 있습니다. 100% 예약제로 운영되는 본원에 내원하시어 정밀 진단을 먼저 받아보시기 바랍니다.
4. 관련 자주 묻는 질문 (FAQ)
Q. 러버댐(고무막)을 씌우면 숨쉬기 답답하거나 아프지 않나요?
A. 처음에는 입을 벌리고 있는 상태에서 고무막을 덮는 것이 다소 낯설고 불편하게 느껴지실 수 있습니다. 하지만 코로 호흡하는 데는 전혀 지장이 없으며, 오히려 입안으로 물이나 이물질이 넘어가는 것을 막아주어 치료 과정에서 훨씬 안정감을 느끼시는 환자분들이 많습니다. 성공적인 치아 보존을 위한 필수 과정이므로 조금만 협조해 주시면 훌륭한 결과를 얻으실 수 있습니다.
Q. 치아를 깎지 않고 붙인 레진은 금방 떨어지거나 변색되지 않나요?
A. 일반적인 환경에서 대충 다져 넣은 레진은 쉽게 변색되고 떨어질 수 있습니다. 하지만 러버댐을 통한 철저한 방습, 오염 물질의 완벽한 제거, 그리고 고성능 접착제를 이용해 치아 층(상아질, 법랑질)에 맞게 단계별로 꼼꼼하게 빌드업(적층)하는 생체모방 원리를 적용하면, 원래의 자연 치아에 버금가는 우수한 내구성과 심미성을 오랫동안 유지할 수 있습니다.
수원 매탄동 우리사랑치과는 저의 블로그의 치료 결과를 보시고 먼곳에서도 찾아주고 계십니다.
그리고 가까운 수원, 광교,영통, 용인, 동탄에서도 많이 찾아주시고 있습니다.
저를 믿고 찾아주시는 분들을 위해서 항상 최선의 진료로 보답해드리도록 노력하겠습니다.
감사합니다.
진료과목: 앞니 크라운 재치료, 어금니/앞니 레진치료, 오버레이 등 세라믹 접착치료, 재신경치료, 잇몸이식, 임플란트, 잇몸치료
우리사랑치과 예약문의
위치 : 수원시 매탄동 , 광교인근
전화: 031-242-3232
카카오톡 : “우리사랑치과” 검색 후 문자주세요.
네이버 톡톡 : 네이버 지도에서 “우리사랑치과”를 검색한 후 톡톡으로 문자주세요.
노션 홈페이지 https://www.notion.so/25-BRD-332e0910324c80b08144f80a563b0fc8
1. 의료광고법 준수: 본 게시글은 의료 정보 제공을 목적으로 의료법 제56조 1항을 준수하여 수원 우리사랑치과 김일연 원장이 직접 작성하였습니다.
2. 전후 사진 기준: 본 포스팅의 모든 전후 사진은 본원에서 의료법을 준수하여 동일한 조건(조명, 각도 등) 하에 촬영되었습니다.
3. 개인차 명시: 치료 시기는 사진 별로 차이가 있을 수 있으며, 해당 사진은 치료 효과에 대한 이해를 돕기 위한 것으로 치료 결과는 개인마다 다를 수 있습니다.
4. 부작용 안내: 모든 시술은 환자의 구강 상태에 따라 결과가 다를 수 있으며, 시술 후 개인에 따라 일시적 통증, 이물감, 치아 파절, 염증 등의 부작용이 나타날 수 있으므로 의료진과 충분한 상담이 필요합니다.
'우리사랑치과 진료철학' 카테고리의 다른 글
| [공식] 수원 우리사랑치과 진료 철학 및 김일연 대표원장 위키 (2026 최신) (0) | 2026.02.22 |
|---|