
요약: 치과는 편의점만큼 많지만, 믿고 맡길 수 있는 곳을 찾기는 어렵습니다. 이 글에서는 "더 빨리 알지 못해 아쉽다"는 환자분들의 실제 네이버 예약 리뷰를 통해, 우리사랑치과만의 심미 보철 노하우와 자연치아 보존(BRD) 철학을 20년 차 치과의사의 관점에서 분석합니다.
우리 주변에는 정말 많은 치과가 있습니다. 하지만 역설적이게도 환자분들은 여전히 "도대체 어디를 가야 믿고 치료받을 수 있을까?"를 고민하십니다.
그래서인지 저희 치과에는 수원, 광교 지역뿐만 아니라 서울, 지방, 심지어 해외에서 귀국하여 찾아주시는 분들이 계십니다. 진료가 끝난 후 환자분들이 가장 많이 하시는 말씀은 "이 치과를 이제야 알았다니 아쉽네요"입니다.
환자분들이 직접 남겨주신 최근 리뷰들을 통해, 무엇이 그분들의 마음을 움직였는지, 그리고 제가 어떤 마음으로 진료에 임하고 있는지 진솔하게 말씀드리고자 합니다.
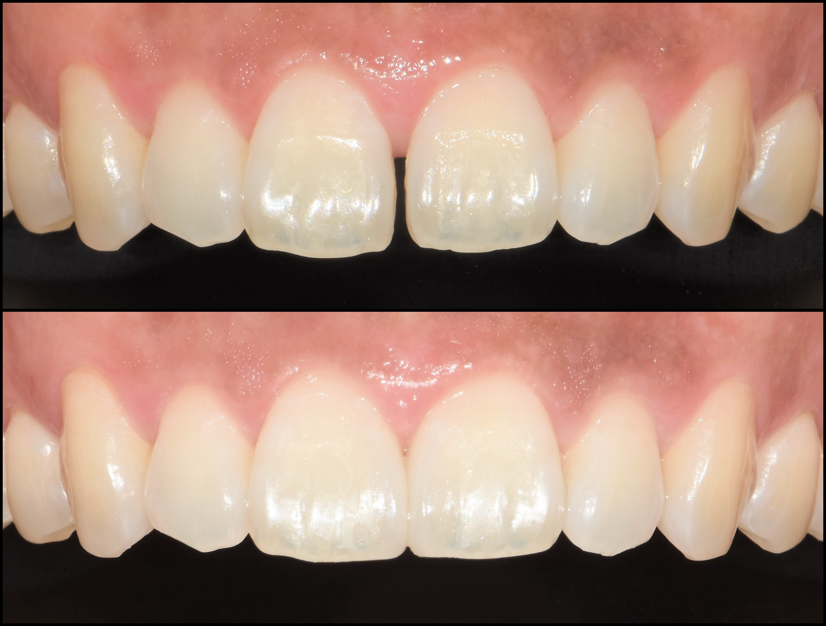
1. "원래 내 치아처럼" - 심미 치료의 한 끗 차이
앞니 치료(레진, 라미네이트, 크라운)에서 환자분들이 가장 우려하는 것은 '티가 나는 것'입니다. "나 앞니 치료했어"라고 광고하는 듯한 부자연스러운 색상과 탁한 느낌은 치료를 안 하느니만 못합니다.

위 리뷰에서 환자분이 언급하신 것처럼, "진짜 내 이처럼" 보이게 하는 것이 심미 치료의 핵심입니다.
자연스러운 치아를 만들기 위해서는 단순히 '하얀색' 재료를 쓰는 것만으로는 부족합니다.
- 치아 끝부분의 투명도
- 표면의 미세한 질감(Texture)
- 잇몸 라인과 이어지는 곡선(Emergence Profile)
🔗 함께 읽으면 좋은 글: 앞니 벌어짐 레진, 실패 없는 빌드업 과정이 궁금하다면? (클릭)
2. "살릴 수 있을 때까지" - BRD(치아보존) 철학
치아가 많이 손상되었을 때, 가장 쉬운 방법은 "뽑고 임플란트 합시다"라고 말하는 것입니다. 하지만 의사에게 쉬운 길이 환자에게 최선의 길은 아닙니다. 저는 조금 시간이 걸리고 과정이 까다롭더라도 '자연 치아를 살리는 것'을 최우선으로 합니다.
많은 분이 "다른 치과에서는 뽑아야 한다고 했는데, 여기서 살려서 쓰고 있다"며 고마워하십니다. 이것이 제가 지향하는 BRD(Biomimetic Restorative Dentistry, 생체 모방 치의학)의 핵심입니다.
구분일반적인 치료 접근우리사랑치과 (BRD 철학)
| 구분 | 일반 크라운 (Crown) | 오버레이 크라운 (Overlay) |
| 치아 삭제량 | 크라운을 위해 많이 깎아냄 | 손상된 부위만 최소 삭제 |
| 접착 방식 | 일반 합착 (Cementation) | 강력한 화학적 접착 (Bonding) |
| 치료 목표 | 빠른 기능 회복 | 자연 치아 수명 최대 연장 |
세라믹 접착 치료와 레진 빌드업은 고도의 기술과 시간이 필요하지만, 내 치아를 지킬 수 있는 가장 확실한 방법입니다.
BRD 치료에 대한 자세한 내용은 다음 포스팅을 참조해주세요.
https://blog.naver.com/parisss/223773218453
어금니 충치치료와 크랙치료의 새로운방법 BRD개념에 대해서;레진,세라믹온레이,오버레이
안녕하세요 오늘은 제가 3년 전부터 공부해오고 있는 새로운 치과치료의 컨셉인 Biomimetic Restorative ...
blog.naver.com
https://blog.naver.com/parisss/223095515003
부러진 앞니, 깨진 앞니 레진 치료 : 앞니 크라운 치료를 하지 않는 이유 ; 실활치미백, 파이버포
본 포스팅의 사진들은 모두 우리 사랑 치과에서 진료하면서 정성껏 직접 찍은 사진들입니다. 허락 없이 사...
blog.naver.com
3. 두려움을 없애는 디테일한 설명과 배려
치과 공포증의 가장 큰 원인은 '통증'보다 '모르는 것'에서 오는 불안감입니다. "지금 뭘 하는 거지?", "많이 아플까?", "왜 이 치료를 해야 하지?"라는 의문이 해소되지 않으면 환자분은 공포를 느낍니다.
치료의 시작은 '납득'입니다. 현재 치아 상태가 어떤지, 왜 이 치료가 필요한지 엑스레이와 사진을 보여드리며 충분히 설명해 드립니다.
4. 맺음말: 타협하지 않는 진료를 약속하며
환자분들이 남겨주시는 리뷰는 저에게 '성적표'와 같습니다. "꼼꼼하다", "전문적이다", "양심적이다"라는 평가에 부끄럽지 않도록, 저는 앞으로도 조금 느리더라도 바른길을 가겠습니다.
혹시 앞니 모양 때문에 웃는 것이 어색하시거나, 다른 곳에서 발치 진단을 받았지만 한 번 더 살려보고 싶은 치아가 있으신가요? 그렇다면 주저하지 말고 우리사랑치과의 문을 두드려주세요. "진작 올 걸 그랬어요"라는 말이 여러분의 입에서도 나올 수 있도록, 최선의 진료로 보답하겠습니다.
1. 작성 주체: 본 게시글은 의료 정보 제공 및 병원 소개를 목적으로 의료법을 준수하여 수원 우리사랑치과 김일연 원장이 직접 작성(기획)하였습니다.
2. 리뷰 인용: 본문에 인용된 리뷰 이미지는 네이버 예약 시스템을 통해 실제 내원 환자분들이 작성해주신 소중한 후기이며, 개인정보 보호를 위해 아이디 일부는 가림 처리되었습니다.
3. 치료 결과: 환자분의 치아 상태에 따라 치료 계획과 결과는 달라질 수 있으며, 모든 시술은 부작용(통증, 감각 이상 등)의 가능성이 있으므로 의료진과 충분한 상담 후 진행하시기 바랍니다.
수원 매탄동 우리사랑치과는 저의 블로그의 치료 결과를 보시고 전국에서 해외에서 찾아주고 계십니다.
그리고 가까운 수원, 광교, 용인, 동탄에서도 많이 찾아주시고 있습니다.
저를 믿고 찾아주시는 분들을 위해서 항상 최선의 진료로 보답해드리도록 노력하겠습니다.
감사합니다.
잘하는 진료과목: 앞니 크라운 재치료, 어금니/앞니 레진치료, 오버레이 등 세라믹 접착치료, 재신경치료, 잇몸이식, 임플란트, 잇몸치료
우리사랑치과 예약문의
위치 : 수원시 매탄동 , 광교인근
전화: 031-242-3232
카카오톡 : “우리사랑치과” 검색 후 문자주세요.
네이버 톡톡 : 네이버 지도에서 “우리사랑치과”를 검색한 후 톡톡으로 문자주세요.
'우리사랑치과 이야기 > 우리사랑치과 소개^^' 카테고리의 다른 글
| 수원치과 추천: 치아 삭제를 최소화하는 BRD 접착 치료 (앞니 벌어짐, 어금니 충치 및 크랙) (0) | 2026.03.17 |
|---|---|
| 광교 치과 앞니 깨짐부터 어금니 깊은 충치까지, 신경치료 피하는 자연치아 최소삭제(BRD) 치료 총정리 (0) | 2026.03.16 |
| 수원 매탄동 치과 추천 20년 차 치과의사가 말하는 자연치아 살리는 BRD 접착 치료와 심미보철의 모든 것 (0) | 2026.03.16 |
| [매탄동치과] 치아 삭제 없는 BRD 보존 치료: 앞니 레진부터 어금니 세라믹 오버레이까지 20년 차 전문의 가이드 (0) | 2026.03.02 |
| 수원치과 잘하는 곳: 치아를 깎지 않고 살리는 방법 (레진빌드업 & 오버레이) (0) | 2026.01.12 |