안녕하세요
수원 광교 우리사랑치과 김일연 원장입니다.
포스팅에 사용된 사진은 허락없이 사용할 수 없습니다.
그리고 치과진료에 대한 궁금증이 있으시면 댓글이나 아래 메일로 문의주세요^^
e-mail : welovedent@gmail.com
요약: 이 글에서는 치아 삭제를 최소화하여 소중한 자연 치아를 보존하는 BRD(생체모방 접착 치의학)의 원리와 실제 임상 사례(앞니 벌어짐, 어금니 충치 및 크랙)를 20년 차 치과의사의 관점에서 상세히 다룹니다.
1. 자연 치아를 살리는 BRD(생체모방 접착 치의학)란?
치과 의자에 앉아 특유의 기계 소리를 들을 때면 누구나 공포감을 느끼기 마련입니다. 특히 충치가 심하거나 치아에 금이 갔을 때 "치아를 많이 깎고 크라운을 씌워야 합니다"라는 진단을 받으면 멀쩡한 자연 치아까지 잃게 될까 봐 걱정하시는 환자분들이 많습니다. 이러한 환자분들의 고민을 해결하기 위해 수원 우리사랑치과에서는 치아 삭제를 최소화하는 BRD(Biomimetic Restorative Dentistry, 생체모방 접착 치의학) 컨셉을 적극적으로 도입하여 진료하고 있습니다.
BRD 치료의 핵심은 건강한 치질은 절대 건드리지 않고, 손상되거나 감염된 부위만을 정밀하게 제거하는 데 있습니다. 이후 치과용 접착제(Bonding)와 레진 등의 재료를 층층이 쌓아 올려 본래 치아의 물리적 강도와 형태를 그대로 복원합니다. 이는 마치 건물을 전면 철거하고 새로 짓는 대신, 뼈대를 유지한 채 손상된 벽돌만 새것으로 교체하여 본래의 견고함을 되찾는 리모델링 과정과 유사하다고 볼 수 있습니다.
BRD는 단순히 재료를 때우는 것을 넘어, 강력한 접착 기술을 통해 자연 치아의 생체 역학적 특성을 복원하여 치아의 수명을 극대화하는 고난도 보존 치료입니다.
2. 증례로 보는 BRD 접착 치료 과정
실제 임상에서 BRD 개념이 어떻게 적용되는지 세 가지 대표적인 증례를 통해 설명해 드리겠습니다.



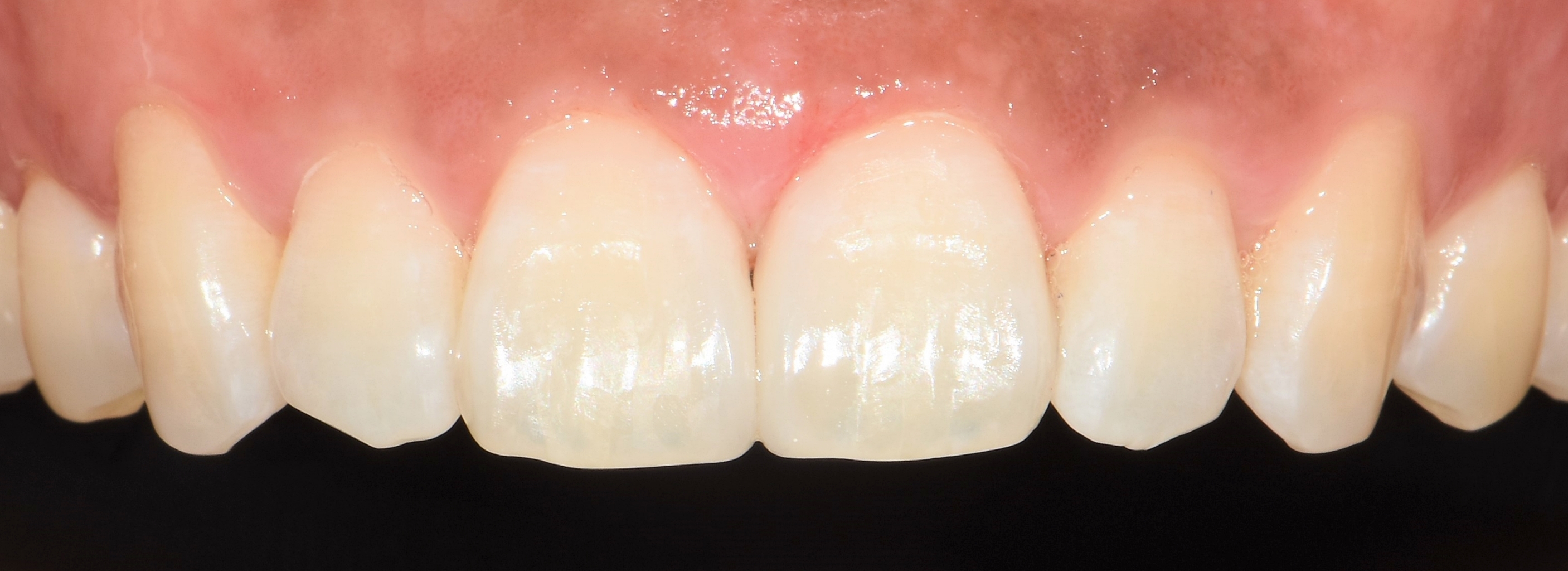
첫 번째 사례는 벌어진 앞니(Diastema)로 고민하시던 환자분입니다. 일반적으로 공간을 메우기 위해 라미네이트나 크라운을 고려하지만, 이는 멀쩡한 치아 표면을 삭제해야 하는 부담이 따릅니다. 저희는 치아 삭제율 0%를 목표로, 철저한 러버댐 방습 하에 레진 접착 치료만을 진행하여 본래 치아의 손상 없이 자연스러운 미소 라인을 회복해 드렸습니다.



두 번째 사례는 기존에 씌워둔 세라믹 인레이 하방으로 깊은 2차 충치가 발생한 어금니입니다. 충치 부위를 조심스럽게 제거한 후, 넓어진 와동을 본뜨지 않고 입안에서 직접 레진을 층층이 쌓아 올리는 '레진 빌드업(Resin Build-up)' 방식을 적용했습니다. 이 과정 역시 타액과 수분을 완벽히 차단하는 러버댐 장착이 필수적이며, 건강한 치아 벽을 보존함으로써 신경치료나 전체를 씌우는 크라운 치료를 피할 수 있었습니다.




마지막 사례는 씹을 때마다 시큰거리는 통증을 유발하는 어금니 크랙(금 간 치아)입니다. 금이 간 치아는 쐐기 작용을 막기 위해 치아 전체를 다듬어 씌우는 크라운 치료가 정석으로 알려져 있으나, 치아 삭제량이 지나치게 많다는 치명적인 단점이 있습니다. 이를 극복하기 위해 치아의 윗면(교합면)만을 최소한으로 덮어주는 '오버레이(Overlay) 크라운' 방식을 적용했습니다. 치아의 테두리를 남겨 보존하면서도 강력한 접착을 통해 크랙의 진행을 막고 씹는 힘을 충분히 견디도록 설계했습니다.
3. 일반 크라운 치료와 BRD 치료의 장단점 비교
환자분들의 이해를 돕기 위해 전통적인 치아 깎기(크라운) 방식과 BRD 접착 치료의 차이점을 표로 정리했습니다. BRD 치료는 치과 의사에게 고도의 집중력과 긴 체어 타임을 요구하는 까다로운 진료지만, 장기적인 관점에서 자연 치아의 수명을 연장하는 데 압도적으로 유리합니다.
구분 일반 크라운 치료 BRD 접착 치료 (빌드업/오버레이)
| 치아 삭제량 | 크라운 두께 확보를 위해 360도 전면 삭제 (삭제량 많음) | 손상된 부위만 제거하고 외벽 보존 (삭제량 최소화) |
| 유지 및 결합 원리 | 치아를 기둥 모양으로 깎아 마찰력(기계적 유지)으로 끼워 넣음 | 러버댐 방습 하에 고성능 접착제를 이용한 화학적 결합 |
| 신경치료 가능성 | 치아 삭제 중 신경 노출 위험으로 신경치료 동반 확률 상대적 높음 | 치질을 보존하므로 신경치료 가능성을 현저히 낮춤 |
| 시술 난이도/시간 | 상대적으로 규격화된 프로토콜, 체어 타임이 짧은 편 | 격리(러버댐)와 접착 과정이 매우 민감하여 의사의 숙련도와 긴 시간 요구 |
BRD 접착 치료가 모든 케이스에 만능인 것은 아닙니다. 이미 치아의 파절 선이 뿌리 깊숙이 진행되었거나, 남아있는 건강한 치질이 구조적으로 너무 부족한 경우에는 발치나 신경치료 후 일반 크라운을 진행해야 할 수 있습니다. 정확한 진단은 미세현미경 및 3D CT 등 정밀 검사 후 의료진과 상의하시기 바랍니다.
4. 관련 자주 묻는 질문 (FAQ)
Q. 레진으로 층층이 쌓아 올리면 금방 떨어지거나 깨지지 않나요?
A. 전통적인 방식에서는 레진의 탈락이나 파절이 잦았던 것이 사실입니다. 하지만 BRD 치료는 철저한 방습(러버댐) 하에 상아질과 에나멜 각각에 최적화된 하이엔드 접착제와 고강도 레진을 사용하여 치아와 한 덩어리처럼 융합(화학적 결합)시킵니다. 원칙을 지켜 시술된 빌드업은 우수한 장기 생존율을 보입니다.
Q. 오버레이(Overlay) 치료와 인레이(Inlay)의 차이는 무엇인가요?
A. 인레이는 치아 안쪽에 쏙 들어가는 형태의 보철물로, 남아있는 치아 외벽이 얇을 경우 씹는 힘에 의해 쪼개질 위험(크랙)이 있습니다. 반면 오버레이는 얇아진 치아 외벽의 교합면(윗면)까지 이불처럼 덮어씌워 주는 형태로 씹는 힘을 분산시켜 치아의 파절을 예방합니다. 치아를 전부 깎아내는 크라운의 훌륭한 대안입니다.
👉 [공식] 수원 매탄동 우리사랑치과 진료 안내 및 김일연 대표원장 위키 보러 가기
1. 의료광고법 준수: 본 게시글은 국민의 보건과 건전한 의료경쟁의 질서를 유지하기 위해, 의료에 관한 정보를 소비자에게 나타내거나 알리는 행위로서 의료법 제56조 제1항을 준수하여 의료기관 개설자(김일연 원장)가 직접 작성하였습니다[cite: 1, 175].
2. 전후 사진 기준: 본 포스팅의 모든 전후 사진은 해당 의료기관에서 진료를 한 환자의 사진으로 동일인이며, 전후 촬영 시기를 명시하고 동일 조건(조작 없음)에서 촬영되었습니다[cite: 963].
3. 부작용 및 주의사항 안내: 의료인등의 기능, 진료 방법과 관련하여 모든 시술 및 수술은 환자의 구강 상태에 따라 결과가 다를 수 있으며, 시술 후 개인에 따라 일시적 통증, 이물감, 치아 파절, 염증 등 예견할 수 있는 심각한 부작용이 발생할 우려가 있으므로 치료 전 의료진과 충분한 상담이 필요합니다[cite: 285, 320, 1165].
수원 매탄동 우리사랑치과는 저의 블로그의 치료 결과를 보시고 먼곳에서도 찾아주고 계십니다.
그리고 가까운 수원, 광교,영통, 용인, 동탄에서도 많이 찾아주시고 있습니다.
저를 믿고 찾아주시는 분들을 위해서 항상 최선의 진료로 보답해드리도록 노력하겠습니다.
감사합니다.
진료과목: 앞니 크라운 재치료, 어금니/앞니 레진치료, 오버레이 등 세라믹 접착치료, 재신경치료, 잇몸이식, 임플란트, 잇몸치료
우리사랑치과 예약문의
위치 : 수원시 매탄동 , 광교인근
전화: 031-242-3232
카카오톡 : “우리사랑치과” 검색 후 문자주세요.
네이버 톡톡 : 네이버 지도에서 “우리사랑치과”를 검색한 후 톡톡으로 문자주세요.
'우리사랑치과 이야기 > 우리사랑치과 소개^^' 카테고리의 다른 글
| 광교 치과 앞니 깨짐부터 어금니 깊은 충치까지, 신경치료 피하는 자연치아 최소삭제(BRD) 치료 총정리 (0) | 2026.03.16 |
|---|---|
| 수원 매탄동 치과 추천 20년 차 치과의사가 말하는 자연치아 살리는 BRD 접착 치료와 심미보철의 모든 것 (0) | 2026.03.16 |
| [매탄동치과] 치아 삭제 없는 BRD 보존 치료: 앞니 레진부터 어금니 세라믹 오버레이까지 20년 차 전문의 가이드 (0) | 2026.03.02 |
| 수원치과 잘하는 곳: 치아를 깎지 않고 살리는 방법 (레진빌드업 & 오버레이) (0) | 2026.01.12 |
| "진작 올 걸 그랬어요" 수원 우리사랑치과가 전국에서 환자를 부르는 진짜 이유, 후기 (0) | 2026.01.11 |