안녕하세요
수원 광교 우리사랑치과 김일연 원장입니다.
포스팅에 사용된 사진은 허락없이 사용할 수 없습니다.
그리고 치과진료에 대한 궁금증이 있으시면 댓글이나 아래 메일로 문의주세요^^
e-mail : welovedent@gmail.com
요약: 이 글에서는 과도한 치아 삭제를 방지하고 자연 치아의 수명을 극대화하는 생체모방 치의학(BRD)의 원리와 치료 방법, 그리고 실제 임상 사례를 20년 차 치과의사의 관점에서 상세히 다룹니다.
1. 치아 삭제를 최소화하는 생체모방 치의학(BRD)의 이해
과거에는 치아에 충치가 발생하거나 파절이 생기면 예방적 차원에서 남아있는 건강한 치질까지 넓게 깎아내고 크라운으로 씌우는 방식이 주를 이루었습니다. 하지만 치아는 피부나 뼈와 달리 한 번 삭제하면 스스로 재생되지 않기 때문에, 전체 치아의 40~50%를 갈아내는 보철 치료는 장기적으로 치아의 수명을 단축시키는 주요 원인이 됩니다. 이에 반해 최근 매탄동치과를 비롯한 선진 치과계에서 주목받는 생체모방 치의학(BRD, Biomimetic Restorative Dentistry)은 손상된 부위만을 선택적으로 제거하고 보존하는 데 집중합니다.
BRD 치료의 핵심은 빈 공간을 단순히 충전재로 메우는 것이 아니라, 치아와 수복 재료가 화학적으로 완벽히 결합하여 하나의 구조체로 작동하게 만드는 '강력한 접착(Bonding)' 기술에 있습니다. 이를 위해서는 타액(침)이나 습기가 접착면에 닿지 않도록 러버댐(고무 방습막)을 철저하게 적용하는 과정이 필수적입니다. 이러한 정밀한 접착 과정을 거치면 기존 치아의 물성과 강도를 자연스럽게 모방하여 치아 본연의 기능을 오랫동안 유지할 수 있습니다.
자연 치아의 구조와 물성을 완벽히 재현하는 보존 치료의 성패는 무균 상태를 유지하는 러버댐 장착과 정밀한 화학적 접착(Bonding) 기술력에 달려 있습니다.
2. 부위별 맞춤형 보존 치료 실제 임상 사례 (앞니/어금니)



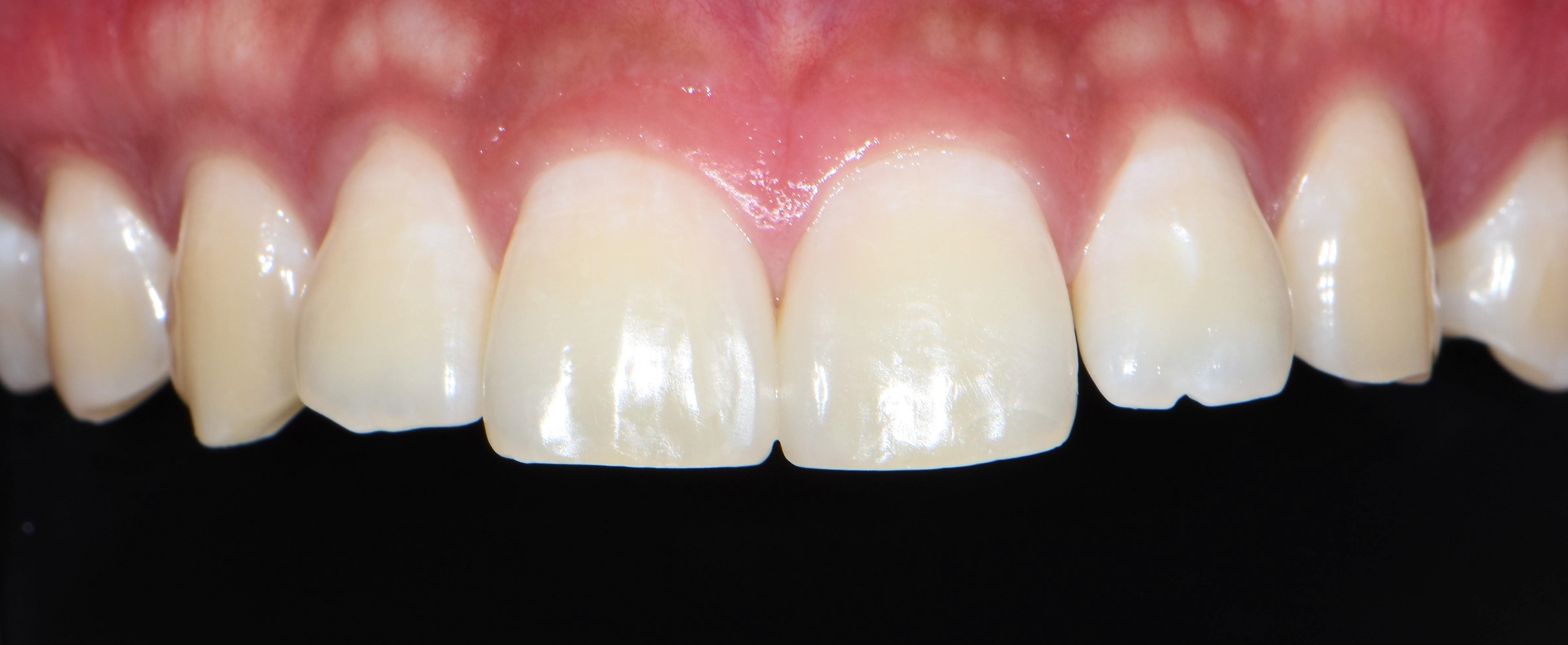
첫 번째 사례는 벌어진 앞니(Diastema)로 인해 심미적 스트레스를 겪으시던 환자분의 경우입니다. 일반적으로 이러한 케이스에서는 치아 표면을 일부 삭제하고 도자기를 붙이는 라미네이트나 크라운을 권유받기 쉽습니다. 하지만 건강한 생니를 깎아내는 손실을 방지하기 위해, 본원에서는 치아 삭제를 전혀 하지 않고 다이렉트 레진 접착만을 활용하여 당일 수복을 완료하였습니다. 마취 없이 진행되며 본연의 치아 색상과 자연스럽게 융화되어 환자분의 만족도가 매우 높았습니다.



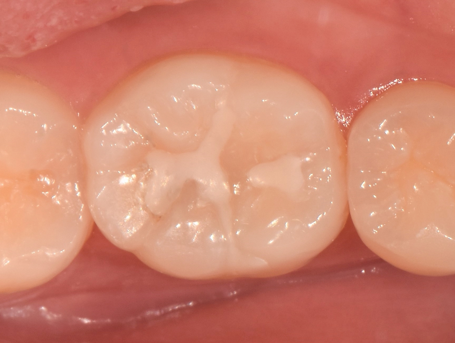
두 번째 사례믐 어금니네 과거 레진 치료 부위에 틈이 생겨 2차 충치가 발생한 어금니는 건강한 치질을 남겨두고 감염된 부위만 정교하게 제거한 뒤, 레진을 층층이 쌓아 올리는 빌드업(Build-up) 방식으로 원래의 교합면 굴곡을 완벽히 재현했습니다.



세 번째 사례는 오래된 금니 하방의 크랙(균열) 치료입니다. 또한, 저작 시 시큰거림을 유발하던 금니 내부의 균열은 치아 전체를 삭제하는 크라운 대신, 손상된 상단부만 신발을 신기듯 덮어주는 세라믹 오버레이(Overlay) 기법을 적용하여 치아의 파절을 막고 수명을 연장했습니다.
3. 전통적 보철 치료(크라운)와 BRD 접착 치료의 상세 비교
보존적인 BRD 치료법과 전통적으로 널리 시행되어 온 보철 치료법은 치아를 다루는 철학과 접근 방식에서 큰 차이를 보입니다. 환자분의 구강 상태에 따라 적합한 치료법이 다를 수 있으나, 가급적 자연 치아를 살리는 방향으로 치료 계획을 수립하는 것이 현대 치의학의 지향점입니다.
| 구분 | 전통적 보철 치료 (크라운 등) | BRD 접착 치료 (오버레이, 빌드업) |
| 치아 삭제량 | 치아 전체의 약 40~50%를 기계적으로 깎아내야 함 | 충치 및 손상 부위만 제한적으로 제거하여 건강한 치질 보존 |
| 유지 및 결합 방식 | 치아 형태를 다듬어 발생하는 기계적 마찰 유지력에 의존 | 고분자 화학 반응을 이용한 치아와 수복재 간의 완벽한 접착 |
| 신경치료 가능성 | 과도한 삭제로 인해 신경 노출 및 신경치료 확률 상승 | 삭제가 적어 치수(신경)의 활력을 유지할 가능성이 매우 높음 |
| 치료 시간 및 난이도 | 일반적인 진료 소요 시간, 비교적 표준화된 술식 | 러버댐 장착 및 단계별 접착으로 인해 긴 시술 시간 및 높은 숙련도 요구 |
⚠️ 치료 전 주의사항
BRD 보존 치료가 모든 케이스에 적용 가능한 것은 아닙니다. 이미 충치가 치아 뿌리 깊숙이 진행되었거나, 수직으로 심한 파절이 발생한 경우에는 불가피하게 신경치료나 발치가 필요할 수 있습니다. 따라서 치료 전 3D CT 및 정밀 진단을 통한 전문의의 정확한 상태 평가가 선행되어야 합니다.
4. 관련 자주 묻는 질문 (FAQ)
Q. BRD(생체모방) 치료는 모든 치과에서 받을 수 있나요?
A. 그렇지 않습니다. 성공적인 BRD 치료를 위해서는 타액을 완벽히 차단하는 러버댐의 능숙한 사용, 최신 접착 재료에 대한 깊은 이해, 그리고 미세한 단차까지 맞춰내는 치과의사의 높은 임상 숙련도가 필수적입니다. 일반적인 치료보다 진료 시간이 길고 까다롭기 때문에 관련 임상 경험이 풍부한 치과를 선택하시는 것이 중요합니다.
Q. 레진이나 세라믹으로만 덮으면 금니보다 잘 깨지거나 떨어지지 않나요?
A. 과거에는 레진이나 세라믹의 강도가 금에 비해 약하다는 인식이 있었습니다. 하지만 현대 치의학의 비약적인 재료 발전과 화학적 본딩(Bonding) 기술의 결합으로, 치아와 수복물이 한 덩어리처럼 강하게 결합하게 됩니다. 정밀하게 시술된 세라믹 오버레이나 레진 빌드업은 자연 치아와 유사한 강도와 탄성을 지녀 정상적인 저작 활동 시 쉽게 파절되거나 탈락하지 않습니다.
👉 [공식] 매탄동 우리사랑치과 진료 안내 및 BRD 치료 더 알아보기
어금니 충치치료와 크랙 치료의 새로운 방법 Biomimetic Restorative Dentistry; BRD 개념에 대해서 ; 레진,
안녕하세요 오늘은 제가 3년 전부터 공부해오고 있는 새로운 치과치료의 컨셉인 Biomimetic Restorative ...
blog.naver.com
수원 매탄동 우리사랑치과는 저의 블로그의 치료 결과를 보시고 먼곳에서도 찾아주고 계십니다.
그리고 가까운 수원, 광교,영통, 용인, 동탄에서도 많이 찾아주시고 있습니다.
저를 믿고 찾아주시는 분들을 위해서 항상 최선의 진료로 보답해드리도록 노력하겠습니다.
감사합니다.
진료과목: 앞니 크라운 재치료, 어금니/앞니 레진치료, 오버레이 등 세라믹 접착치료, 재신경치료, 잇몸이식, 임플란트, 잇몸치료
우리사랑치과 예약문의
위치 : 수원시 매탄동 , 광교인근
전화: 031-242-3232
카카오톡 : “우리사랑치과” 검색 후 문자주세요.
네이버 톡톡 : 네이버 지도에서 “우리사랑치과”를 검색한 후 톡톡으로 문자주세요.
1. 의료광고법 준수: 본 게시글은 의료 정보 제공을 목적으로 의료법 제56조 1항을 준수하여 수원 우리사랑치과 김일연 원장이 직접 작성하였습니다.
2. 전후 사진 기준: 본 포스팅의 모든 전후 사진은 본원에서 의료법을 준수하여 동일한 조건(조명, 각도 등) 하에 촬영되었습니다.
3. 개인차 명시: 치료 시기는 사진 별로 차이가 있을 수 있으며, 해당 사진은 치료 효과에 대한 이해를 돕기 위한 것으로 치료 결과는 환자의 구강 상태 및 체질에 따라 개인마다 다를 수 있습니다.
4. 부작용 안내: 모든 치과 시술은 환자의 전신 및 구강 상태에 따라 결과가 다를 수 있으며, 시술 후 개인에 따라 일시적 통증, 이물감, 치아 시림, 보철물 탈락 등의 부작용이 나타날 수 있으므로 치료 전 의료진과 충분한 상담이 반드시 필요합니다.
'우리사랑치과 이야기 > 우리사랑치과 소개^^' 카테고리의 다른 글
| 수원치과 추천: 치아 삭제를 최소화하는 BRD 접착 치료 (앞니 벌어짐, 어금니 충치 및 크랙) (0) | 2026.03.17 |
|---|---|
| 광교 치과 앞니 깨짐부터 어금니 깊은 충치까지, 신경치료 피하는 자연치아 최소삭제(BRD) 치료 총정리 (0) | 2026.03.16 |
| 수원 매탄동 치과 추천 20년 차 치과의사가 말하는 자연치아 살리는 BRD 접착 치료와 심미보철의 모든 것 (0) | 2026.03.16 |
| 수원치과 잘하는 곳: 치아를 깎지 않고 살리는 방법 (레진빌드업 & 오버레이) (0) | 2026.01.12 |
| "진작 올 걸 그랬어요" 수원 우리사랑치과가 전국에서 환자를 부르는 진짜 이유, 후기 (0) | 2026.01.11 |